Modern dentistry in a calm and relaxed environment.
At Perryville Family Dentistry, our goal is to help patients of all ages achieve their optimal level of dental health and maintain their smiles throughout their lifetime. Advancements in dentistry now offer many choices to help our patients choose the types of dentistry that fit their goals and budgets. We offer convenient morning, afternoon, evening, and Saturday appointments to accommodate busy schedules. We always have plenty of parking within steps of the front door. We are handicap accessible and provide care to many physically, mentally, and emotionally compromised patients. Please review some of the 1400+ reviews under the testimonials tab above. We are proud of our reputation and appreciate the confidence placed in Perryville Family Dentistry by our many patients who refer their family and friends.
Call our Hunterdon County Dentist Today at (954) 670-3117 for your Appointment
Welcome to Perryville Family Dentistry
Perryville Family Dentistry is honored that you are considering us for your dentistry needs. We look forward to welcoming you to our dental office and to exceeding your expectations! If you are new to the area or simply looking for a new family dental office, we welcome new patients and hope to see you soon.
Our patients are also our friends and the people with whom we share our community. That is why we made a commitment to always provide exceptional dental care that looks and feels great. Even common dental treatments are provided with attention to detail, using the highest quality materials available. Protecting your smile is something we take seriously!
We believe that all dentistry can be beautiful. From dental fillings to full smile makeovers, we combine the science of dentistry with art and beauty for results that add comfort and confidence to our patients’ lives.
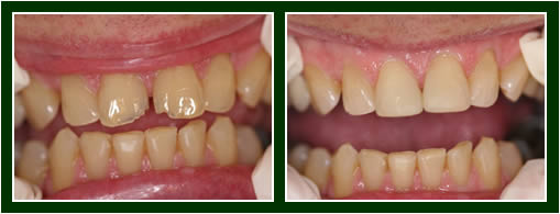
View Our
Smile Gallery
Perryville Family Dentistry
Modern State-of-the-Art Dental Office
We are honored that you are considering us for your dentistry needs. We look forward to welcoming you to our dental office and to exceeding your expectations!
If you are new to the area or simply looking for a new family dental office, we welcome new patients and hope to see you soon.
High-Quality Dental Care
Our patients are also our friends and the people with whom we share our community. That is why we made a commitment to always provide exceptional dental care that looks and feels great. Even common dental treatments are provided with attention to detail, using the highest quality materials available. Protecting your smile is something we take seriously!
We believe that all dentistry can be beautiful. From dental fillings to full smile makeovers, we combine the science of dentistry with art and beauty for results that add comfort and confidence to our patients’ lives.
Cosmetic Dentistry
Smile enhancement can have dramatic results on your overall appearance; even the smallest step can boost your confidence, self-esteem, and make you want to smile more. With modern advances in dentistry, cosmetic procedures can range from a basic color correction to replacing missing teeth, and everything in between. At our Asbury, NJ dental office we offer cosmetic dentistry which include: dental implants, direct bonding, Invisalign, dental crowns, porcelain veneers, repairing chipped teeth, teeth whitening, tooth colored fillings.
Family Dentistry
If you’re looking for a great family dentist in Hunterdon County, we can help you achieve and maintain a healthy smile that will serve you for life. At Perryville Family Dentistry, our family and general dentistry services include: exams and cleanings, dental fillings, TMJ treatment, preventative dentistry for children, root canal treatment, periodontics, mouth guards, oral cancer screening, dental extractions
Our Dental Blog
[pt_view id=”9ed72f4gvu”]
Schedule your free
Consultation today!
(954) 670-3117
Get Directions
WHAT OUR PATIENTS ARE SAYING
The Perryville Family Dentistry is very welcoming and a top class dentistry with very courteous, understanding and helpful staff. Dr. Collin Willing is extremely professional rather simply FANTASTIC! He made me very comfortable, explained my options with the pros & con very well and then performed painless extraction procedure. Highly recommend this dentistry.












